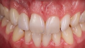
Castro_after_gingiva
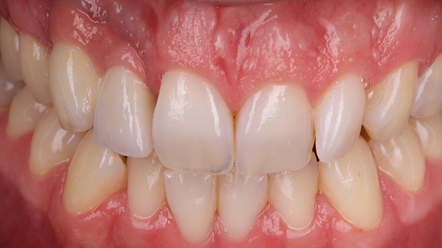
» Castro_after_gingiva